At Monarch Dental Arts, our philosophy is simple: preserve every bit of your natural tooth for as long as possible. That’s why we offer advanced, science-based treatments that can stop early decay in its tracks — without drilling, shots, or removing healthy tooth structure.

Early intervention is key for biomimetic dentistry. The sooner your dentist notices a problem, the sooner you can get minimally-invasive treatment. That’s why you need to see Dr. Paholiouk every six months for a teeth cleaning and an oral exam in Orange County.
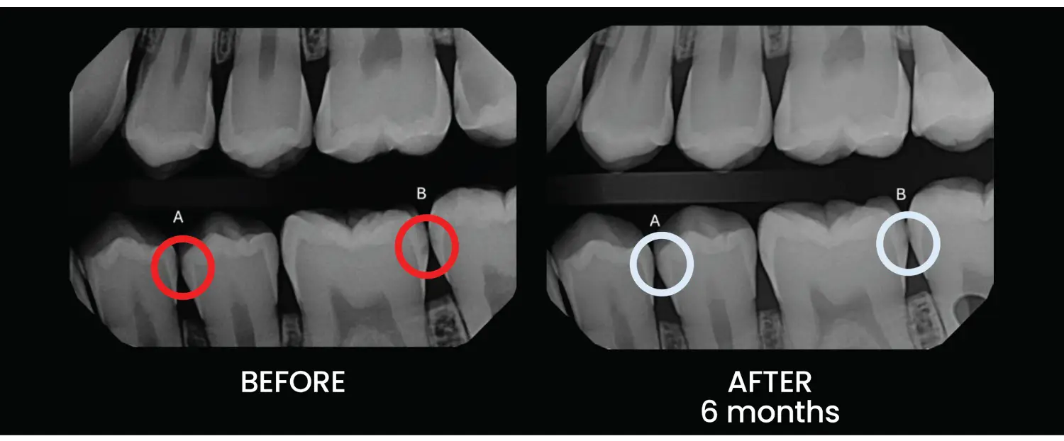
Our enamel remineralization treatment is designed to strengthen your teeth without drilling or discomfort.
Here’s what to expect:

To ensure optimal results, we place a rubber dam around the tooth. This keeps the area dry and isolated, allowing the treatment to bond effectively.

We apply a state-of-the-art remineralization formula that contains the same essential minerals found in your natural enamel. This helps repair weakened areas at the microscopic level.

The formula penetrates deeply into the enamel to stop early decay, strengthen surrounding tooth structure, and preserve your natural tooth—no drilling required.
This enamel-strengthening option is a favorite for patients who want effective care without invasive procedures. Here’s why:
The treatment is completely non-invasive—no anesthesia, no drilling, and no discomfort.
It works with your tooth’s natural biology to rebuild and protect enamel from the inside out.
Backed by years of research, this treatment is both safe and effective.
Ideal for patients who want to stop decay before it starts and avoid more complex procedures down the road.